Μύκητας φυτού μόλυνε άνθρωπο για πρώτη φορά (ΕΙΚΟΝΕΣ)

Ο μύκητας

Chondrostereum purpureum

μολύνει τα φύλλα και τα κλαδιά μίας ευρείας γκάμας φυτών και μάλιστα είναι θανατηφόρος για το φυτό αν δεν αντιμετωπιστεί γρήγορα. Τώρα, στην πρώτη καταγεγραμμένη περίπτωση, φαίνεται πως είναι επικίνδυνος και για τον άνθρωπο, αφού μόλυνε έναν 61χρονο Ινδό στο λαιμό του.

Στη

μελέτη

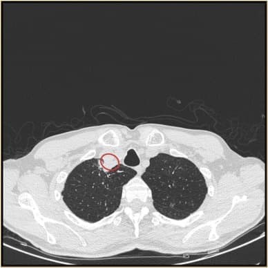
αναφέρεται πως ο ασθενής προσήλθε στο νοσοκομείο με βήχα και βραχνή φωνή, κόπωση και δυσκολία στην κατάποση. Ο αξονικός τομογράφος αποκάλυψε έναν όγκο γεμάτο πύον στην τραχεία του. Οι εργαστηριακές εξετάσεις δε βρήκαν κάποιο βακτήριο και μόνο μία ειδική εξέταση για μύκητες αποκάλυψε την παρουσία μίας ύφας, δηλαδή μίας μακράς, διακλαδισμένης, νηματοειδούς δομής μύκητα.

1 s2.0 S2211753923000106 gr1 - Μύκητας φυτού μόλυνε άνθρωπο για πρώτη φορά (ΕΙΚΟΝΕΣ)

1 s2.0 S2211753923000106 gr2 - Μύκητας φυτού μόλυνε άνθρωπο για πρώτη φορά (ΕΙΚΟΝΕΣ)

1 s2.0 S2211753923000106 gr3 - Μύκητας φυτού μόλυνε άνθρωπο για πρώτη φορά (ΕΙΚΟΝΕΣ)

Από τα εκατομμύρια γνωστά είδη μυκήτων, μόλις μερικές εκατοντάδες μπορούν να προκαλέσουν κάποιο πρόβλημα στον άνθρωπο. Το γεγονός πως ο συγκεκριμένος κατάφερε να επιβιώσει σε ένα τόσο εχθρικό περιβάλλον όπως το σώμα του ανθρώπου, είναι πραγματικά αξιοπερίεργο, αν όχι ανησυχητικό. Να σημειωθεί πως ο ασθενής είχε πλήρως λειτουργικό ανοσοποιητικό, χωρίς να λαμβάνει φαρμακευτικές αγωγές ή να έχει χρόνιες ασθένειες, διαβήτη ή HIV.

Ευτυχώς, στη συγκεκριμένη περίπτωση, ο ασθενής επανήλθε μετά από δύο μήνες αγωγής με ένα κοινό αντιμυκητισιακό φάρμακο. Παραμένει άγνωστος ο τρόπος με τον οποίο μολύνθηκε ο ασθενής αρχικά.

Η

μελέτη


δημοσιεύθηκε

στο

Medical Mycology Case Reports

.



Πηγή unboxholics.com


Λάβετε ενημερώσεις σε πραγματικό χρόνο απευθείας στη συσκευή σας, εγγραφείτε τώρα.



Μπορεί επίσης να σας αρέσει


Σχολιάστε το Άρθρο



Ακύρωση απάντησης

Η διεύθυνση email σας δεν θα δημοσιευθεί.